Wie lange dauert Zahn abschleifen für Krone? YesSmile
Wie lange dauert Zahn abschleifen für Krone? YesSmile
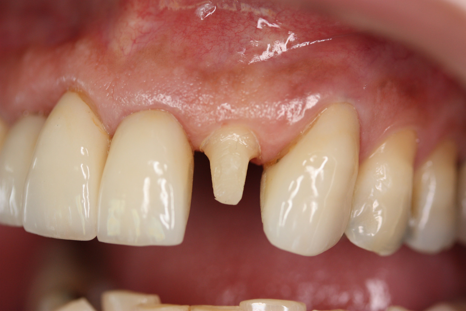
Zahn Abschleifen Für Krone. Wie lange dauert Zahn abschleifen für Krone? YesSmile Viele Menschen haben Angst, wenn das Überkronen von einem oder mehreren Zähnen ansteht Meist ist der Zahn, welcher für eine Krone abgeschliffen wird, stark durch Karies beschädigt..
Beschleifen eines Frontzahnes YouTube from www.youtube.com
Wie lange dauert Zahn abschleifen für Krone? Wenn Sie sich fragen, wie lange das Abschleifen eines Zahns für eine Krone dauert, hängt das stark vom Einzelfall ab Das Abschleifen von Zähnen, auch bekannt als Zahnumformung oder Konturierung, ist ein zahnmedizinisches Verfahren, das zur Verbesserung der Form, Größe oder Oberfläche der Zähne durchgeführt wird.
Beschleifen eines Frontzahnes YouTube
Meist ist der Zahn, welcher für eine Krone abgeschliffen wird, stark durch Karies beschädigt.. Viele Menschen haben Angst, wenn das Überkronen von einem oder mehreren Zähnen ansteht Meist ist der Zahn, welcher für eine Krone abgeschliffen wird, stark durch Karies beschädigt..
Krone Zahn abschleifen. Im Allgemeinen können Sie mit einer Dauer von etwa 30 Minuten bis zu einer Stunde rechnen Wie lange dauert das Abschleifen eines Zahns für eine Krone? Die Dauer des Abschleifens eines Zahns für eine Krone hängt von verschiedenen Faktoren ab, einschließlich der Größe und Form des Zahns, der Art der Krone, die eingesetzt werden soll, und der Erfahrung des Zahnarztes.
Zahnkronen Zahnarztpraxis Bahlmann Köln. Warum diese Zeitspanne so variiert, erfahren Sie im Folgenden. Überkront der Zahnarzt einen Zahn mit einer künstlichen Zahnkrone, schleift er den beschädigten Zahn im Vorfeld bis auf den Zahnstumpf ab